Pre and post op photos of cases
There is ongoing debate as to the pros and cons of showing pre and post op photos on websites. The argument is that the results could be photoshopped, are chosen only to show good results and do not necessarily represent the results for other prospective patients.
On the other hand it is useful to have an idea of real results on real people, and useful to have an idea in particular of how visible the scarring can be. All these photos are pre surgery and at six weeks post op.
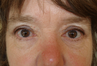
Upper and Lower Blepharoplasty
There is ongoing debate as to the pros and cons of showing pre and post op photos on websites. The argument is that the results could be photoshopped, are chosen only to show good results and do not necessarily represent the results for other prospective patients.
On the other hand it is useful to have an idea of real results on real people, and useful to have an idea in particular of how visible the scarring can be. All these photos are pre surgery and at six weeks post op.
Upper and Lower Blepharoplasty




Pre and Post Upper Blepharoplasty






Pre and Post Ptosis


Pre and Post Minor Ops


